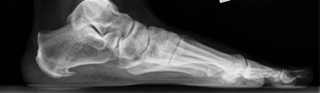
Wat is een hielspoor?
Een hielspoor is een verkalking aan de onderkant van het hielbot (calcaneus). Deze zit bij de aanhechting van de peesplaat die naar de voorvoet loopt. Een hielspoor is waarneembaar op röntgenfoto, maar ook is hij goed te zien op een echo.

De hielspoor hoeft niet altijd pijn te doen, zolang deze geen ontsteking veroorzaakt. Als men 100 mensen van de straat haalt en bij deze mensen gaat onderzoeken op hielspoor, zullen 30 mensen een hielspoor hebben waar ze geen weet van hebben. De pijn die mensen hebben met hielspoor komt omdat de hielspoor een ontsteking in de peesplaat veroorzaakt.
Oorzaken van een hielspoor
Een hielspoor kan verschillen de oorzaken hebben en is vaak een combinatie van factoren:
- Gewichtstoename;
Hierbij kunt u denken aan b.v. zwangerschap - Overbelasting;
Denk hierbij aan hardlopen. Zeker als u gelijk fanatiek gaat lopen en de voet is dit niet gewend, dan kan het zijn dat de er een hielspoor om de hoek komt kijken. - Voetafwijking;
Neem bijvoorbeeld een platvoet waar de peesplaat op rek komt te staan. - Ouder worden;
Naarmate u ouder wordt kan de voet doorzakken, ook dan is er kans dat de peesplaat meer op rek komt te staan. - Verkeerd schoeisel;
Als men geen goede ondersteuning van de schoen ondervindt. - Verkeerd looppatroon;
U voeten staan naar binnen gekanteld( pronatie) en u loopt daardoor niet goed op de voeten.
Deze oorzaken hebben alles te maken met het feit dat op de peesplaat een langdurige druk wordt uitgeoefend. Als gevolg hiervan zal het lichaam reageren en ontstaat er een vergroeiing van het van het bot (verkalking) aan het hielbot, waar de peesplaat is aangehecht. De pijn die u kunt voelen heeft te maken met een ontsteking die de hielspoor kan veroorzaken in de peesplaat. De hielspoor zelf doet geen pijn.

Symptomen van een hielspoor
De pijn die u kunt hebben bij een hielspoor zijn meestal ’s morgens als men uit bed stapt (dit noemt men startpijn) of als men langere tijd heeft gezeten. Dit komt omdat in rust de spieren en pezen enigszins verstijven en verkorten. Wordt er dan bij het opstaan weer druk op de peesplaat uitgeoefend, kan dit een stekende pijn veroorzaken in de voet, die na een stukje lopen weer weg kan trekken doordat de peesplaat versoepelt.
Een hielspoor kan ook verergeren zodat u in uw dagelijkse werkzaamheden beperkt wordt. De pijn kan verergeren en zelfs in rust aanhouden. Het is dus raadzaam om u te laten behandelen.
Behandelen van een hielspoor
Niet-operatief
U kunt om te beginnen voordat u uit bed stapt wat rekoefeningen doen zoals bijvoorbeeld met een gestrekt been uw tenen naar uw lichaam trekken. Natuurlijk is daarmee het probleem niet opgelost en is het raadzaam om naar uw huisarts te gaan die u eventueel weer doorstuurt naar een podoloog. De podoloog kan constateren (klinisch of met een echo) of het inderdaad om een hielspoor gaat. Deze kan dan u adviseren om therapiezolen te laten maken en/of bijvoorbeeld naar een fysiotherapeut of andere discipline te gaan.
Oefeningen om de peesplaat onder de voet te laten herstellen
In deze video laten wij u zien hoe u met oefeningen de peesplaat sneller kunt laten herstellen. Hoe eerder de fasciitis plantaris wordt behandeld, des te groter de kans op herstel. Als u te lang wacht, kan de klacht verergeren en kan er meer schade aan de pees worden toegebracht.
Operatief
Het komt zelden voor dat de niet-operatieve behandelingen niet helpen en de patiënt zoveel klachten heeft dat een operatieve oplossing voor het probleem moet worden gezocht. Is een behandeling met operatie noodzakelijk, dan zijn er verschillende operaties van een hielspoor mogelijk.
Heeft u last van een hielspoor?
Podozorg Nederland is een groep (register) podologen en podotherapeuten die u graag helpen met voetklachten door een hielspoor. Met meer dan negentig Podozorg praktijken zit er altijd een praktijk bij u in de buurt! Klik op de onderstaande knop en vind de dichtstbijzijnde Podozorg praktijk.





